What’s new: COVID-19 vaccine boosters

The CDC Director Dr. Rochelle Walensky announced recommendations, which are only for those people who received the Pfizer-BioNTech vaccine.

This information is current as of the date of original publication or update but may have changed by the time you read this. Do not use this information for diagnosis or treatment purposes. Before making health decisions, discuss with a qualified healthcare professional.

You’ve been hearing and reading much news about booster doses for the 3 currently used COVID vaccines. Both the FDA and the CDC have been reviewing data. One reason why the reports about their findings and recommendations is confusing is that the two agencies do different things. ( I’m not going into that now.)

The CDC Director Dr. Rochelle Walensky announced these recommendations, which are only for those people who received the Pfizer-BioNTech vaccine.

Recommendations for Pfizer Vaccine recipients

  • people 65 years and older and residents in long-term care settings should receive a booster shot of Pfizer-BioNTech’s COVID-19 vaccine at least 6 monthsafter their Pfizer-BioNTech primary series
  • people aged 50–64 years with underlying medical conditions should receive a booster shot of Pfizer-BioNTech’s COVID-19 vaccine atleast 6 months after their Pfizer-BioNTech primary series
  • people aged 18–49 years with underlying medical conditions may receive a booster shot of Pfizer-BioNTech’s COVID-19 vaccine at least 6 months after their Pfizer-BioNTech primary series, based on their individual benefits and risks
  • people aged 18-64 years who are at increased risk for COVID-19 exposure and transmission because of occupational or institutional setting may receive a booster shot of Pfizer-BioNTech’s COVID-19 vaccine at least 6 months after their Pfizer-BioNTech primary series, based on their individual benefits and risks

Previous COVID-19 updates

Breaking news – Vaccination in pregnancy

August 11, 2021
  • COVID-19 vaccination is recommended for all people 12 years and older, including people who are pregnant, breastfeeding, trying to get pregnant now, or might become pregnant in the future.
  • Evidence about the safety and effectiveness of COVID-19 vaccination during pregnancy has been growing. These data suggest that the benefits of receiving a COVID-19 vaccine outweigh any known or potential risks of vaccination during pregnancy.
  • There is currently no evidence that any vaccines, including COVID-19 vaccines, cause fertility problems in women or men.

Breaking news-COVID-19 Vaccines for Moderately to Severely Immunocompromised People

August 13, 2021

CDC now recommends that people whose immune systems are compromised moderately to severely should receive an additional dose of mRNA COVID-19 vaccine after the initial 2 doses. Widespread vaccination is a critical tool to help stop the pandemic. Read CDC’s statement.

What the CDC recommends for fully vaccinated, pregnant, and immune compromised persons

Like weather updates about tornados, hurricanes, and blizzards, the warnings and recommendations from the CDC about COVID-19 change to reflect current findings and predictions.

This information is current as of the date of original publication or update but may have changed by the time you read this. Do not use this information for diagnosis or treatment purposes. Before making health decisions, discuss with a qualified healthcare professional.

When I wrote the first version of this post I did not anticipate a need to update it, but have now done so 4 times. Like weather updates about tornados, hurricanes, and blizzards, the warnings and recommendations from the CDC about COVID-19 change to reflect new data about the current status of the coronavirus and its activity among the population. Now I suspect this will not be the final post in this series.

The arrival of the Delta virus variant into the United State caused a new surge of infections, mostly among the unvaccinated. Those of us vaccinated can become infected with it, but likely will not become seriously ill, need hospitalization, or die.

Breaking news – Vaccination in pregnancy

August 11, 2021
  • COVID-19 vaccination is recommended for all people 12 years and older, including people who are pregnant, breastfeeding, trying to get pregnant now, or might become pregnant in the future.
  • Evidence about the safety and effectiveness of COVID-19 vaccination during pregnancy has been growing. These data suggest that the benefits of receiving a COVID-19 vaccine outweigh any known or potential risks of vaccination during pregnancy.
  • There is currently no evidence that any vaccines, including COVID-19 vaccines, cause fertility problems in women or men.

Breaking news-COVID-19 Vaccines for Moderately to Severely Immunocompromised People

August 13, 2021

CDC now recommends that people whose immune systems are compromised moderately to severely should receive an additional dose of mRNA COVID-19 vaccine after the initial 2 doses. Widespread vaccination is a critical tool to help stop the pandemic. Read CDC’s statement.

CDC updates July 27, 2021

The CDC recommends fully vaccinated people wear a mask in public indoor settings , in areas of substantial or high transmission. (find transmission rates at this link.)

Fully vaccinated people might choose to wear a mask regardless of the level of transmission, particularly if they are immunocompromised or at increased risk for severe disease from COVID-19, or if they have someone in their household who is immunocompromised, at increased risk of severe disease or not fully vaccinated.

Fully vaccinated people who have come into close contact with someone with suspected or confirmed COVID-19 to be tested 3-5 days after exposure, and to wear a mask in public indoor settings for 14 days or until they receive a negative test result.

CDC recommends universal indoor masking for all teachers, staff, students, and visitors to schools, regardless of vaccination status.

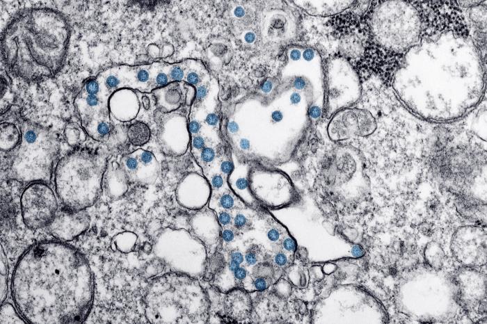
electron microscope image of a 2019-nCoV isolate
Transmission electron microscopic image of an isolate from the first U.S. case of COVID-19, formerly known as 2019-nCoV. The spherical viral particles, colorized blue, contain cross-sections through the viral genome, seen as black dots. credit Hannah A Bullock; Azaibi Tamin, public domain
Here is what the CDC, Centers for Disease Control and Prevention, posted on their web site as of July 28, 2021.

Interim Public Health Recommendations for Fully Vaccinated People

For the purposes of this guidance, people are considered fully vaccinated for COVID-19

  • ≥2 weeks after they have received the second dose in a 2-dose series (Pfizer-BioNTech or Moderna), or We
  • ≥2 weeks after they have received a single-dose vaccine (Johnson and Johnson (J&J)/Janssen ).
Dr. Aletha inspecting her arm after a COVID-19 shot
Three days after my first vaccination the soreness in my arm was almost gone, and I had no redness or swelling. After the second shot, minimal soreness. No other side effects to report. I feel fortunate. I am now fully vaccinated.

Fully vaccinated people can:

  • Resume activities without wearing masks or physically distancing, except where required by federal, state, local, tribal, or territorial laws, rules and regulations, including local business and workplace guidance
  • Resume domestic travel and refrain from testing before or after travel or self-quarantine after travel
  • Refrain from testing before leaving the United States for international travel (unless required by the destination) and refrain from self-quarantine after arriving back in the United States
  • If you came into close contact with someone with COVID-19 get tested 3-5 days after the date of your exposure and wear a mask in public indoor settings for 14 days after exposure or until a negative test result.
  • Refrain from routine screening testing if feasible
  • Get tested if experiencing COVID-19 symptoms and isolate for 10 days if positive.
  • Follow CDC and health department travel requirements and recommendations

Travel

For now, masks are still required for everyone on public transportation, until those policies are updated. (June 10, 2021 update)

Healthcare facilities

For now, you will likely be required to wear a mask in hospitals, clinics, medical offices, nursing homes, and other facilities that provide direct healthcare.

Protocols for vaccinated and non-vaccinated healthcare workers are detailed on the CDC website.

Immune compromise

People who are immunocompromised should be counseled about the potential for reduced immune responses to COVID-19 vaccines and to follow current prevention measures (including wearing a maskstaying 6 feet apart from others they don’t live with, and avoiding crowds and poorly ventilated indoor spaces) regardless of their vaccination status to protect themselves against COVID-19 until advised otherwise by their healthcare provider.

It has been reported that the CDC may recommend a booster for these people soon.

a scientist in a lab working on covid antibodies
Centers for Disease Control and Prevention (CDC) scientist was preparing patients’ samples for SARS-CoV-2antibody testing. Serological testing is used to detect antibodies, which indicate past infection with the virus that causes COVID-19, and is important to the understanding of disease prevalence within a population. credit James Gathanay, public domain

About the Delta Variant: 

Vaccines are highly effective against severe illness, but the Delta variant causes more infections and spreads faster than earlier forms of the virus that causes COVID-19. Learn more about variants in the US.

Testing, testing, testing

Testing helps us identify cases, trace contacts, and prevent spread. With fewer cases, public health professionals can find contacts easier and sooner. Stopping spread will make the variant viruses less of a threat.

So please don’t stop seeking testing if you have symptoms; it is still important to know how many cases of COVID-19 there are. If we only know about the severe cases that required hospitalization, it will skew the statistics, and be less representative of the true extent of the pandemic.

Masks and Vaccines -“do unto others”

I’m not here to debate the use of masks. If you are not yet vaccinated, masks are an easy and safe way to protect yourself but aren’t anywhere close to vaccine effectiveness. Bottom line, get vaccinated; it’s available and easy to get. You probably won’t have to wait in line for an hour like I did. Just click on this link

VACCINES.GOV

Remember, this is a contagious infectious disease spread by direct person to person contact. It’s not just about you, we’re here for each other.

Information and misinformation

There has been much of both in the past year, some deliberate, some well intentioned, some valuable, some just plain wrong. Whenever possible, get your information directly from the source, not “a friend of a friend’s second cousin”. Here are some tips for finding reliable information

7 Resources for Responsible Social Media Sharing

The post emphasizes the importance of responsible social media usage by highlighting various resources and strategies to combat misinformation. It discusses how emotional responses can be manipulated by disinformation and urges readers to critically evaluate content before sharing. We all have a responsibility to research claims and ensure truthfulness online.

Final comments from the CDC

CDC will continue to evaluate and update public health recommendations for fully vaccinated people as more information, including on new variants, becomes available. Further information on evidence and considerations related to these recommendations is available in the  Science Brief.

CDC website

exploring the HEART of ending the pandemic

Please do your friends a favor by sharing this post on social media and even in real conversations.

Dr. Aletha